Dental Hygienist
Professional dental hygiene care in Belfast to support healthy teeth and gums.
We believe Dental Hygiene is vital
At Gransha Dental, our dental hygienist provides preventative dental care for patients across Belfast.
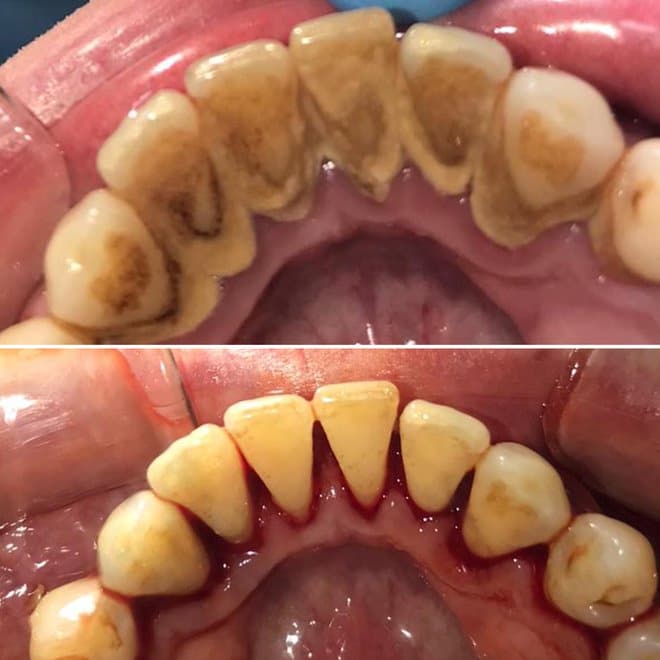
Regular hygiene visits help maintain healthy teeth and gums, reducing the risk of tooth decay and gum disease. Gum disease can often develop without noticeable symptoms and is a leading cause of tooth loss in adults.
During your appointment, the hygienist will assess your gum health and provide professional cleaning above and below the gum line. This removes plaque and calculus build-up while helping to maintain good oral hygiene.
You do not need to be a registered patient at Gransha Dental to book a hygiene appointment.
We offer direct access appointments, allowing you to see the hygienist without first visiting a dentist. This makes it easier to maintain your oral health with regular professional cleaning.
Book a Consultation
Dental Therapist
Our dental therapist provides a range of treatments, including preventative care and restorative procedures such as fillings.
They are also trained to carry out certain cosmetic treatments, including teeth whitening, helping to support both oral health and smile appearance.
